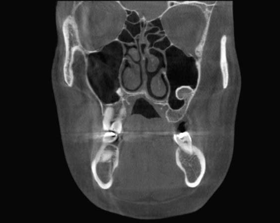
La Tomografía Computarizada Cone Beam (TCCB) es una tecnología en rápido desarrollo que proporciona imágenes de alta resolución espacial del complejo craneofacial en tres dimensiones (3D).