Pasar al contenido principal
Navegación principal
Inicio
Servicios
Contacto
Solicitar Usuario Plataforma Virtual
Orden Radiográfica Online
Intranet
Navegación principal
Inicio
Servicios
Contacto
Solicitar Usuario Plataforma Virtual
Servicios
Servicios
Radiografías Extraorales
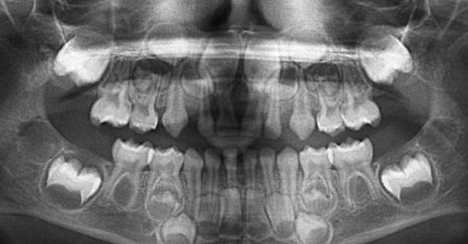
Panorámica
A.T.M.
Posteroanterior
Lateral (Cefalometrica)
Senos Maxilares (Waters)
Malares
Carpal
Documentación Ortodontica
Análisis Cefalométrico Lateral
Análisis Cefalométrico Frontal
Edad Ósea
Fotografía Digital
Fotografías Intraorales
Fotografías Extraorales
Tomografía
Implantes
A.T.M. (Boca abierta/Boca cerrada)
Localización de Diente Impactado
Área Patológica
Banner
Orden
5
Radiografías Extraorales
Radiografías Extraorales
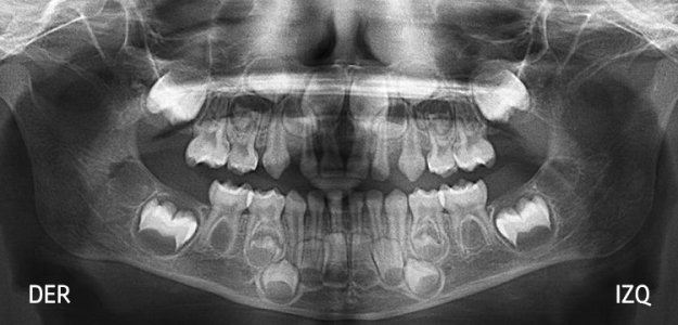
Panorámica
A.T.M.
Posteroanterior
Lateral (Cefalometrica)
Senos Maxilares (Waters)
Malares
Carpal